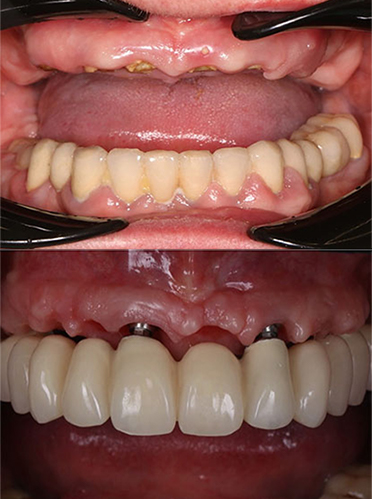
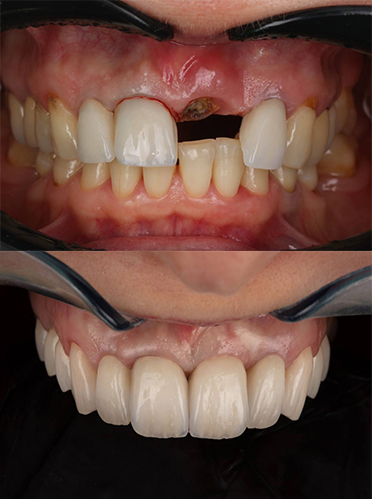
Zubní implantáty

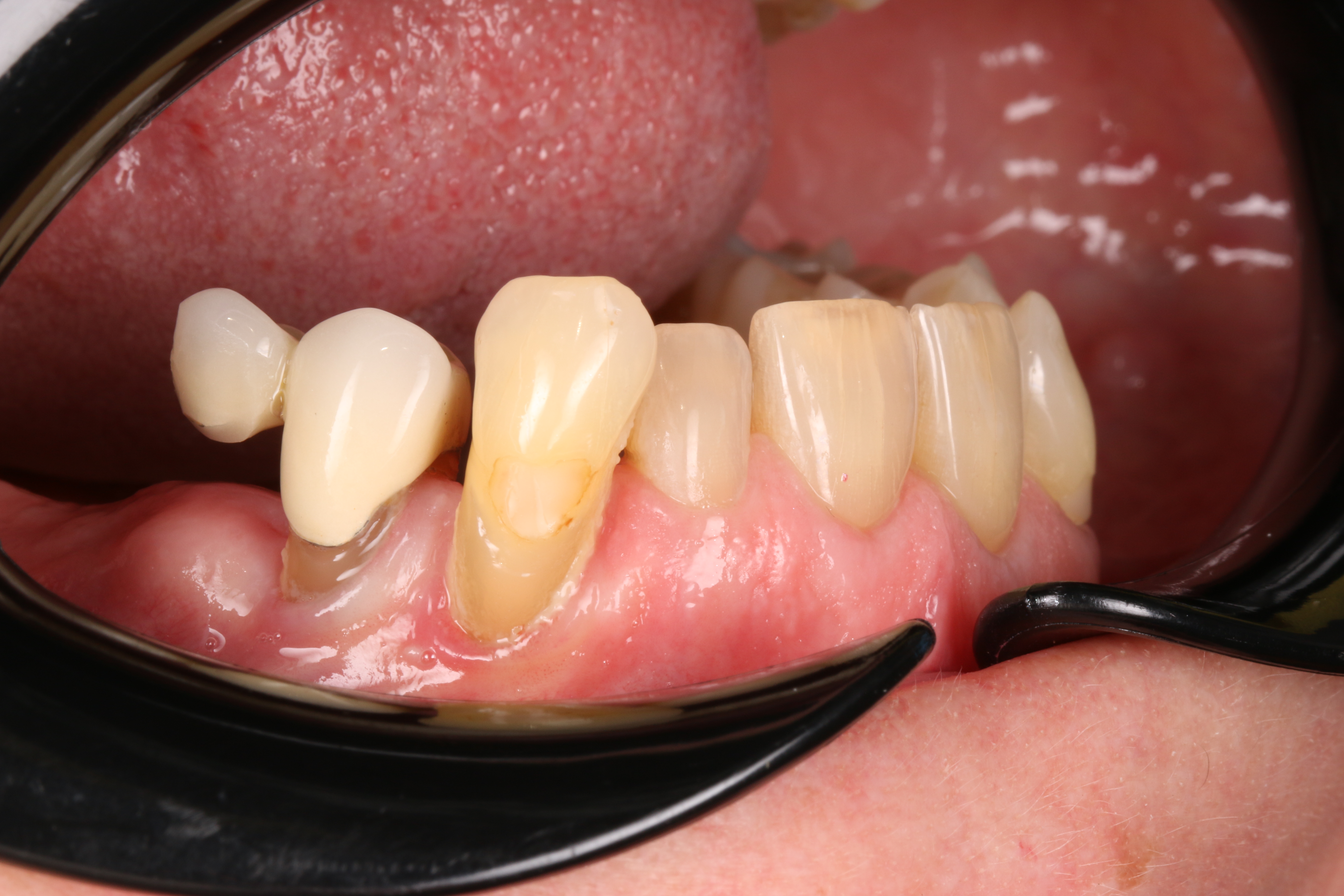
Protetika a rekonstrukce chrupu
Chirurgické a komplikované extrakce zubů
Dentoalveolární a parodontální chirurgie
Augmentace kosti a měkkých tkání
Cystektomie, resekce kořenových hrotů

Zubní implantáty a pokročilá ústní chirurgie

Specializujeme se na moderní zubní implantáty.
Obnovíme váš úsměv pomocí nejnovějších metod.

 

Co je estetická stomatologie?

Krásný úsměv je klíčem k úspěchu v moderním světě, ale ne každý jej má od přírody. Bohužel ne každý má od narození krásné a dokonale tvarované zuby. Navíc se s věkem či časem mohou objevit různé potíže, které úsměv kazí.m

 

Doba záruky u protetiky

Garance je stanovena na určité období, během něhož klinika bezplatně odstraní všechny funkční a estetické vady.

 

Co je chirurgická stomatologie?

1. Není nutné brousit sousední zdravé zuby.
2. Není nutné je depulpat, což se často děje při broušení zubů na korunky.
3. Sousední zuby nejsou při žvýkání přetěžovány, protože nepřebírají zátěž za chybějící zub.

MUDr. Mykhailo Zhuk

Specializace: chirurgická stomatologie, implantologie

17 let praxe

Absolvent Lvovské národní lékařské univerzity D. Halyckého

Zaměření: chirurgie, implantologie, protetika

IČ: 17597498

MUDr. Mykhailo Zhuk

Služby pro vás

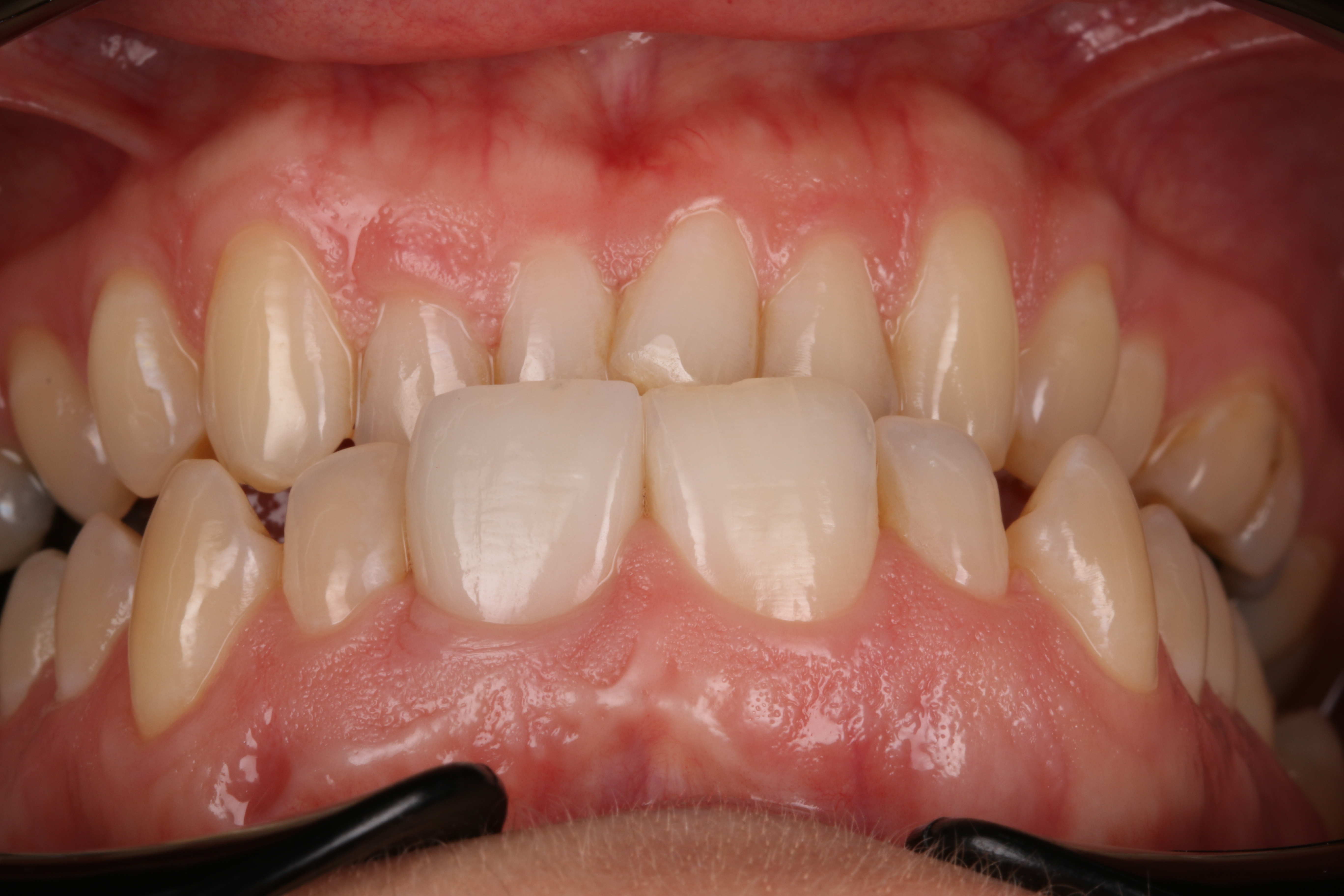
Poskytujeme kompletní škálu moderních stomachirugie , stomatologických služeb – od implantace až po chirurgii parodontu. Každý zákrok provádíme s důrazem na preciznost, estetiku a maximální komfort pacienta.

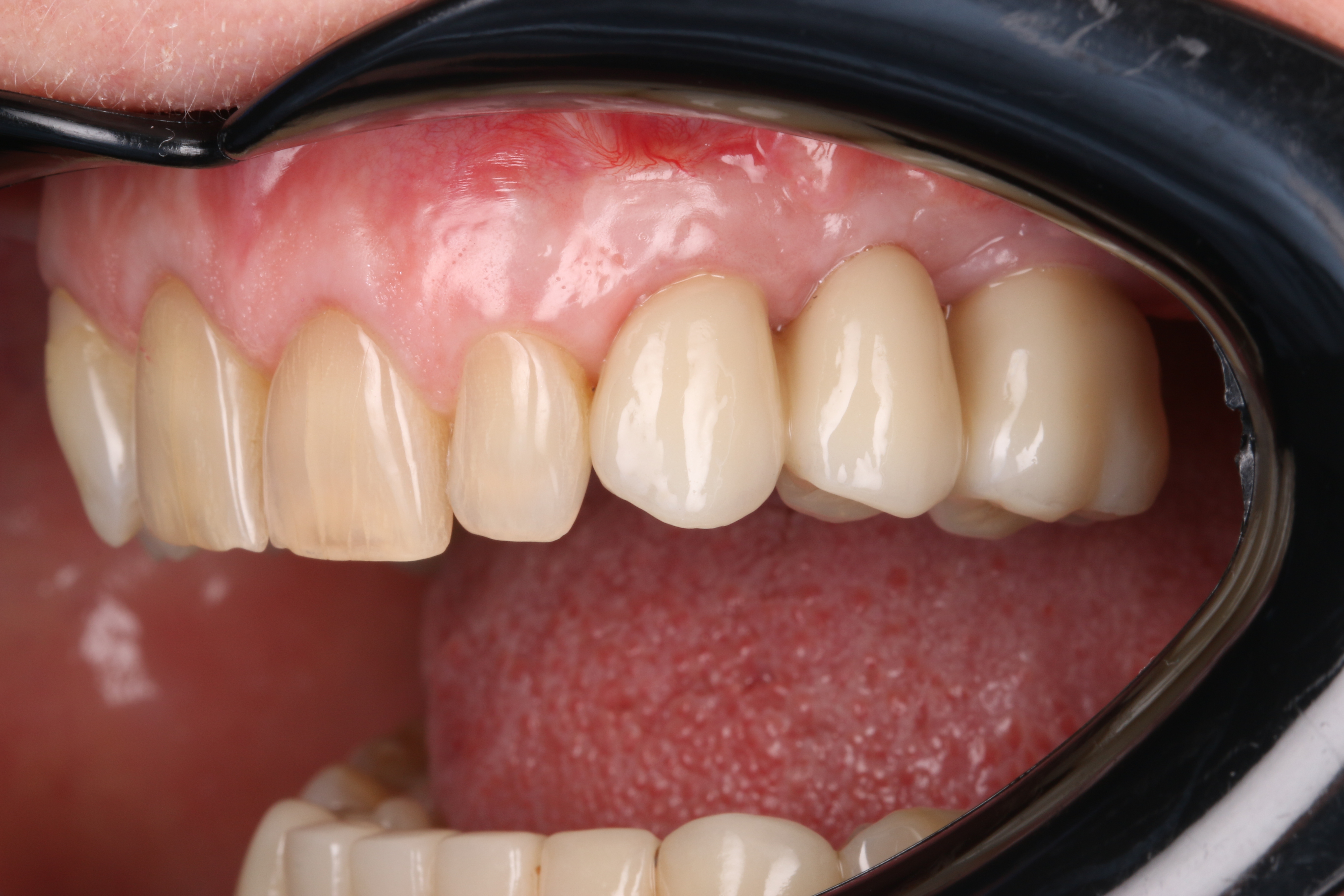
Implantace
Moderní řešení zubních implantátů, která nahrazují chybějící zuby s dlouhodobými funkčními a estetickými výsledky.  
Protetika
Korunky, můstky a snímatelné náhrady pro obnovení funkce i estetiky chrupu.
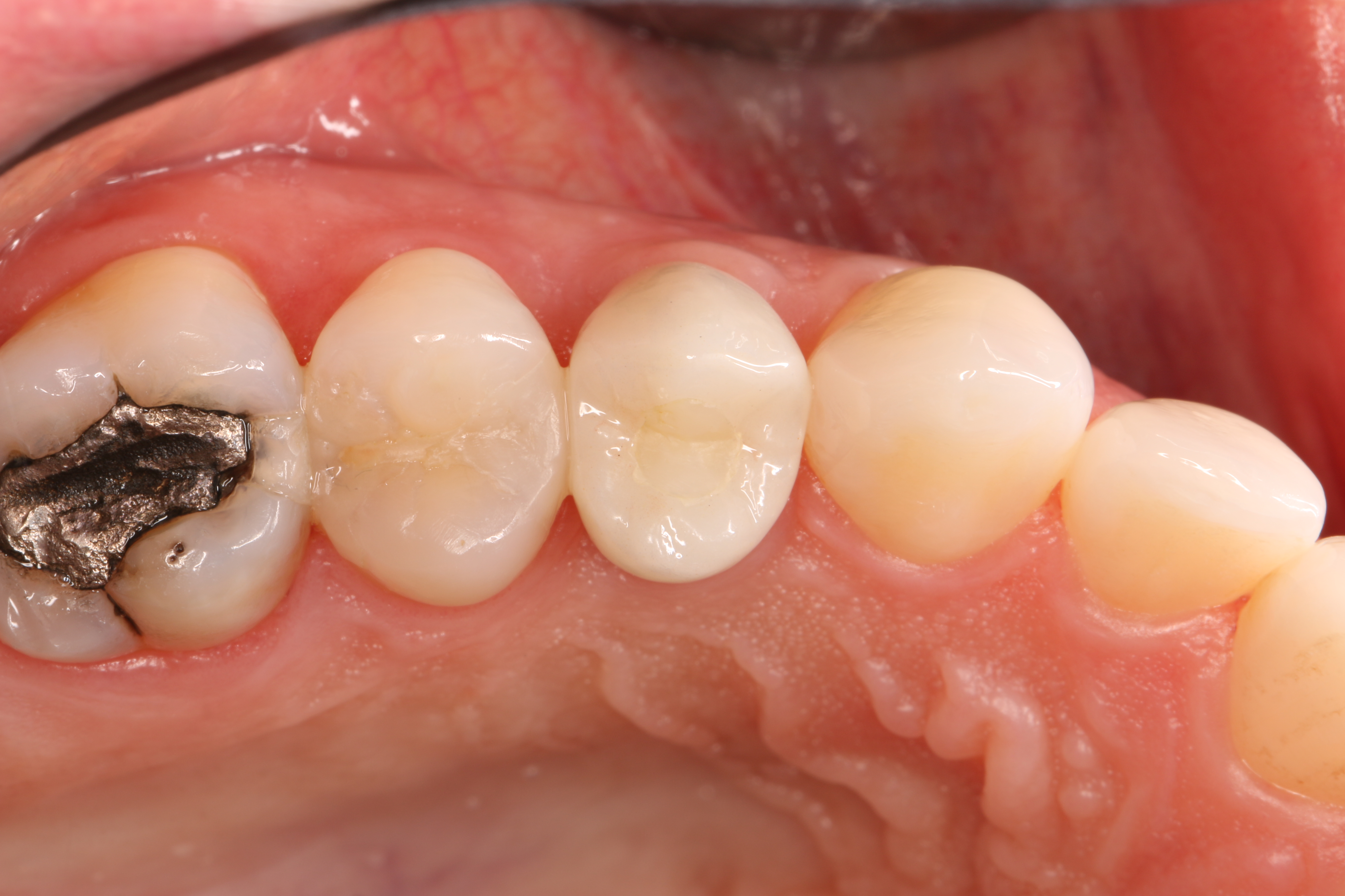
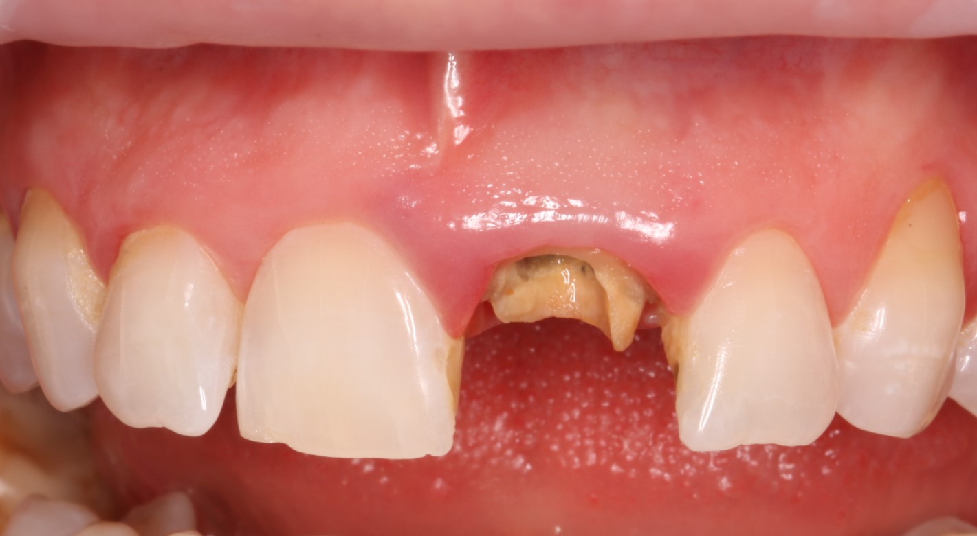
Extrakce zubů
Standardní i chirurgické extrakce s důrazem na přesnost a pohodlí pacienta.
Komplexní atypické extrakce osmiček
Chirurgické odstranění složitě uložených třetích molárů (zuby moudrosti).
Odstranění retenčních váčků a granulomů
Bezpečné odstranění patologických útvarů, které ohrožují zdraví chrupu a dásní.
Kostní plastika
Zvětšení objemu čelistních kostí jako příprava pro zavedení implantátů.
Sinus lift
Obnovení objemu kostní tkáně v oblasti čelistních dutin pro stabilní umístění implantátů.
Plastika měkkých tkání
Estetické i funkční úpravy měkkých tkání v okolí zubů a implantátů.
Totální rekonstrukce chrupu
Komplexní rekonstrukce chrupu přizpůsobené individuálním potřebám pacienta.
Chirurgie parodontu
Specializované zákroky zaměřené na léčbu onemocnění dásní a podporu estetické i funkční stránky úsměvu.

Ceník služeb

* Konečná cena zákroku bude stanovena po osobní konzultaci s lékařem.
* Konzultace máme zdarma
* Extrakci hradí pojišťovna
* Ceny se můžou lišit dle situace.

SlužbaCena
Extrakce zubu zdarma (hradí pojišťovna)
Implantát 14 000 Kč
Korunka na implantát 13 000 Kč
Augmentace kosti od 6 000 Kč
Transplantace dásně 2 000 Kč

Rezervace

Rezervace je možná telefonicky nebo e-mailem. Naše recepce vás kontaktuje a nabídne volné termíny.

Otevírací doba

Provozní doba je flexibilní podle objednávek. Kontaktujte nás a najdeme pro vás vhodný termín.

Zubní implantáty - Havířov

Kontaktujte nás

.

K. Světlé 1662/1e, Podlesí, Havířov, Česká republika, 736 01

Recepce / ordinace – adresa

.

+420 739 512 508

Zavolejte mi

.

cekarnalegeartis@gmail.com

Napište mi

.

Po–Pá 09:00–20:00

Otevírací doba

Sdílejte s námi